Smile Gallery

Every smile tells a story.

Explore the transformations that give our patients confidence, comfort, and a smile they’re proud of.

Smile Makeover

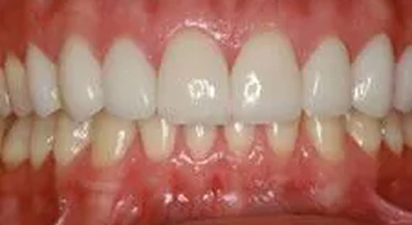
Before

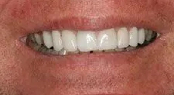
After

Veneers & Crowns

Before

After

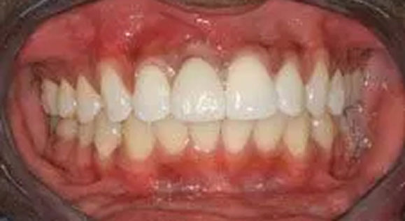
Clear Braces

Before

After

Full Mouth Reconstruction

Before

After

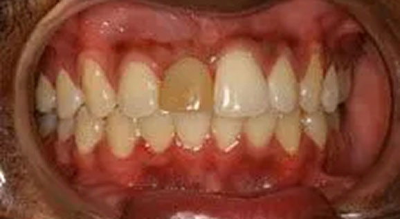
Veneer

Before

After

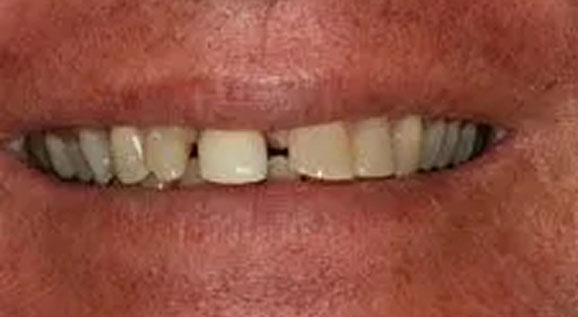
Bridge

Before

After

Smile Makeover

Before

After

Veneer

Before

After

Smile Makeover

Before

After

Single Implant

Before

After

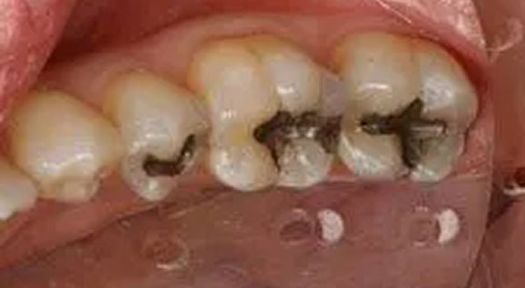
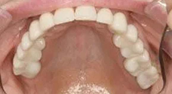
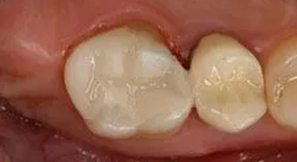
Teeth Colored Filling

Before

After

Teeth Colored Filling

Before

After

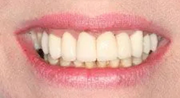
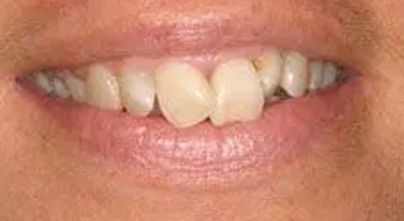
Upper Bridges

Before

After

Experience
Dental Care That
Puts You First